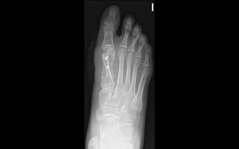
La diabetes puede causar artropatía, una afección que daña las articulaciones debido a altos niveles de azúcar en sangre, afectando la movilidad y bienestar general.
El Dr. Escobar es un destacado cirujano ortopédico especializado en tobillo y pie, con más de 15 años de experiencia en el ámbito de la traumatología. Su enfoque está orientado a brindar atención de calidad, respaldado por una sólida formación académica y práctica. A lo largo de su carrera, ha trabajado tanto en instituciones públicas como privadas, combinando su pasión por la cirugía con un compromiso continuo hacia la actualización médica.
Durante su trayectoria, ha participado en diversas rotaciones, pasantías y certificaciones, lo que le ha permitido consolidarse como un referente en su especialidad. Actualmente, forma parte del staff de ortopedia y traumatología en el Hospital Zonal Dr. Natalio Burd y en el Centro Traumatólogos Neuquén, donde continúa aplicando sus conocimientos y habilidades para mejorar la calidad de vida de sus pacientes.










